Authors: Theodore H. Schwartz, Doo-sik Kong, Kris S. Moe
A list with all ETOS published articles.
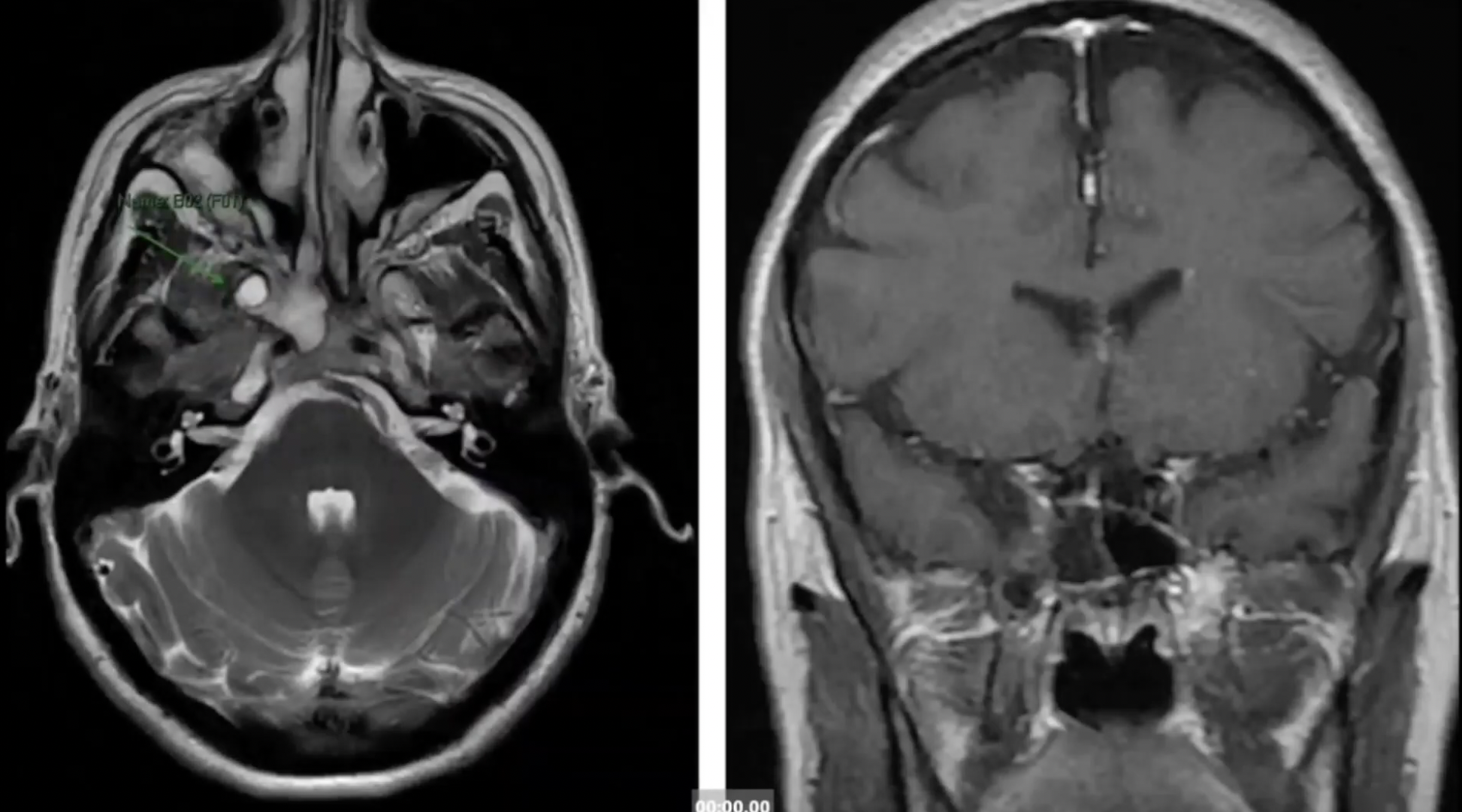
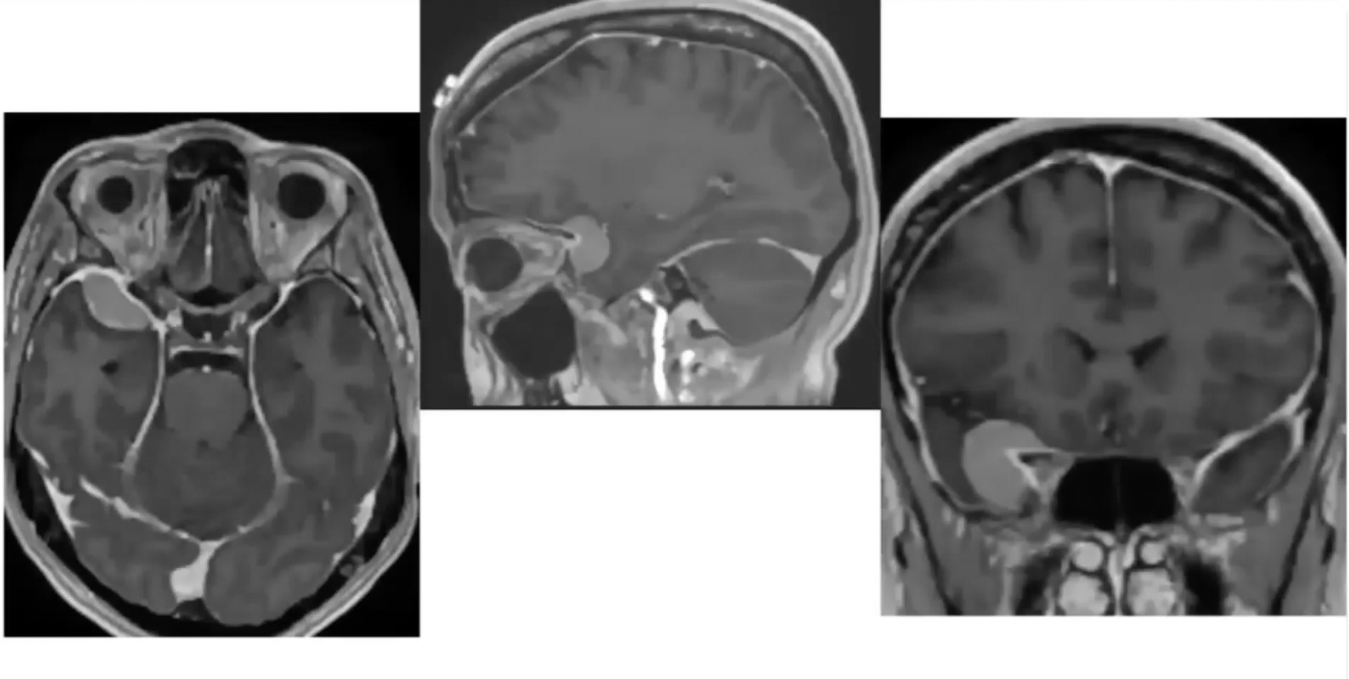
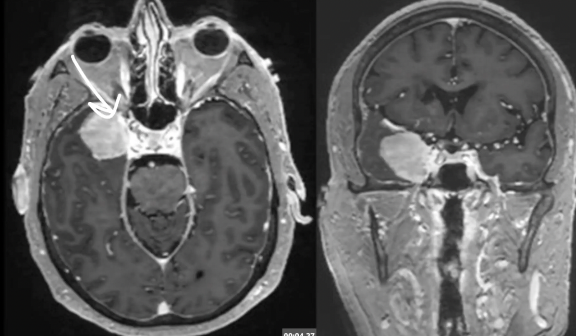
A way to improve skull base surgery through the advanced application of endoscopic techniques.